A complete guide to every condition assessed and treated by Professor Vik Veer — Consultant ENT & Sleep Surgeon at 150 Harley Street, London. Select a category below to explore in depth.
Professor Veer has a dual specialism in ENT surgery and sleep medicine, leading the UK's largest sleep surgery practice. Use the categories below to jump to any area, or scroll through to browse all conditions.
Professor Veer offers the full spectrum of treatments for snoring and obstructive sleep apnoea — from lifestyle measures and CPAP support through to the most advanced surgical implants. Use these pages to understand your options and find the right pathway.

The full spectrum from simple snoring to severe OSA — how it's diagnosed, why it matters, and what your treatment options are.
Read more
A rapid, GP-referred pathway offering diagnostic sleep studies and a personalised treatment plan — most patients receive a management plan within a single appointment cycle.
Read more
The most comprehensive sleep service — bringing together sleep physicians, physiologists, and surgeons to assess complex or treatment-resistant cases.
Read more
No mask, no tubing — small implanted devices that sense your breathing and keep the airway open. Professor Veer is one of the UK's most experienced surgeons for these.
Read more
The latest generation hypoglossal nerve stimulator, with improved battery life and more refined control — Professor Veer was among the first UK surgeons to implant it.
Read more
Clinical trials show targeted myofunctional exercises significantly reduce snoring and OSA — one of the few genuinely non-invasive treatments with solid evidence behind it.
Read moreEvidence-based guides on sleep science, lifestyle factors, and what the research actually shows about popular sleep aids, trackers, and interventions. Written by a practising sleep surgeon with full access to the peer-reviewed literature.

Distinguishing between snoring and sleep apnoea requires more than guesswork — this explains the clinical differences and why getting it right matters for your long-term health.
Read more
Most people significantly underestimate the cumulative impact of insufficient sleep on their body, brain, and long-term survival.
Read more
CPAP is the most prescribed treatment for sleep apnoea — but how much does it actually protect your heart? The evidence from major cardiovascular trials, examined honestly.
Read more
Untreated sleep apnoea creates a legal obligation to inform the DVLA — Professor Veer explains the rules in plain language and what you must do, particularly if you hold a commercial licence.
Read more
Fitbit, Apple Watch, Oura Ring — a review of the published evidence on consumer sleep trackers against polysomnography, the clinical gold standard.
Read more
Melatonin, magnesium, valerian, L-theanine — an honest, critical review separating supplements with genuine evidence from those relying mainly on placebo effects.
Read more
Weighted blankets, cooling pads, mouth tape, blue-light glasses — which products have genuine clinical evidence behind them, and which rely on marketing?
Read more
Sleep hygiene advice is everywhere — Professor Veer rigorously evaluates each recommendation against the published research, separating evidence-based practice from myth.
Read moreObstructive sleep apnoea affects virtually every organ system in the body. This series of evidence-based articles — written by a practising sleep surgeon — explores each health consequence in depth, with data from peer-reviewed research. Start with the overview below, or jump straight to any specific condition.
The essential starting point — how untreated OSA damages health across multiple organ systems simultaneously. Read this first.
Read the overviewAn independent risk factor for hypertension, atrial fibrillation, and heart failure — 40–80% of cardiology clinic patients have undiagnosed OSA.
Read moreA 2025 meta-analysis found OSA significantly raises dementia risk — early treatment is becoming recognised as a powerful tool for prevention.
Read moreOSA is found in the majority of stroke survivors — treating it after a stroke significantly reduces the risk of recurrence.
Read moreSevere nocturnal hypoxia is associated with 28–43% higher cancer risk and nearly tripled cancer-specific mortality.
Read moreTreating OSA often produces mental health improvements that medication alone cannot achieve — the relationship between OSA and depression is bidirectional.
Read moreOSA drives insulin resistance through cortisol excess and sympathetic activation — found in the majority of patients with type 2 diabetes.
Read moreFragmented, oxygen-depleted sleep impairs cognition to a degree sometimes comparable with being over the legal drink-drive limit.
Read moreOSA suppresses testosterone production — treating it can restore normal levels without hormone replacement therapy.
Read moreOSA in women is significantly underdiagnosed — particularly prevalent in PCOS and pregnancy, where it carries risks for both mother and baby.
Read moreOSA shortens telomeres and accelerates cellular ageing — treating it may genuinely slow the ageing process at a molecular level.
Read moreIn children, OSA typically presents as hyperactivity and learning difficulties rather than sleepiness — frequently misdiagnosed as ADHD.
Read moreOSA contributes to chronic kidney disease through sustained hypertension and oxidative stress — and the relationship is bidirectional.
Read moreOSA is associated with glaucoma and other sight-threatening conditions through nightly oxygen fluctuations and raised intracranial pressure.
Read moreChronic hypoxia contributes to reduced bone density, inflammatory arthritis, and higher incidence of sensorineural hearing loss.
Read morePeople with untreated OSA are up to seven times more likely to be involved in a road traffic accident — with significant legal implications.
Read moreProfessor Veer treats the full range of ear conditions from wax and infections through to complex problems with balance and the ear drum. Diagnosis and treatment are tailored to each patient, with surgical options available where appropriate.

Pressure, fullness, and muffled hearing — a common and very treatable condition frequently misdiagnosed, with options from nasal sprays to balloon dilatation.
Read more
One of the most common causes of reduced hearing — and cotton buds almost always make it worse. Treatment is straightforward and usually immediately effective.
Read more
Many perforations heal spontaneously, but persistent ones cause hearing loss and recurrent infections — Professor Veer explains when surgical repair is the right choice.
Read more
Strongly linked to dementia risk when left untreated — early assessment matters because some causes of hearing loss are reversible.
Read more
Recurrent infections cause pain, hearing loss, and potential long-term damage — Professor Veer explains medical management and when grommet insertion is appropriate.
Read more
The most common cause of vertigo — intense spinning triggered by head movements, caused by displaced crystals and treated with specific manoeuvres in clinic.
Read moreNasal and sinus conditions are among the most common reasons patients consult an ENT surgeon. From a persistently blocked nose to chronic sinusitis and troublesome nosebleeds, most conditions can be effectively managed with the right approach.

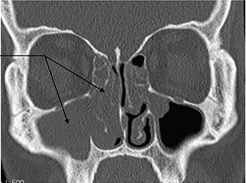
Deviated septum, polyps, turbinate hypertrophy — Professor Veer explains the diagnostic approach and the full range from medical management to septoplasty.
Read more
Chronic sinusitis can be dramatically improved — Professor Veer reviews the evidence for each treatment and explains when FESS surgery is the best option.
Read more
Most nosebleeds come from a small cluster of vessels that are straightforward to treat — but frequent, heavy, or one-sided bleeds always warrant proper investigation.
Read more
From antihistamines to immunotherapy to surgical turbinate reduction — Professor Veer reviews the evidence and explains when each approach is most appropriate.
Read moreThroat conditions, tonsil and adenoid problems, and paediatric ENT disorders form a significant part of Professor Veer's clinical practice. Early and accurate diagnosis leads to better outcomes and, in children, can have lasting benefits for hearing, behaviour, and development.

Silent reflux, globus sensation, unexplained lumps — Professor Veer explains which throat symptoms need urgent investigation and what a thorough assessment involves.
Read more
Recurrent infections or disrupted sleep from enlarged tonsils — surgical treatment can be genuinely transformative for those who have suffered for years.
Read more
Glue ear, adenoids, childhood OSA — early treatment can have lasting benefits for hearing, speech, behaviour, and learning.
Read moreFree interactive tools to support sleep and focus. More patient resources will be added here as they are developed.